19/12/2025 22:07:15

Mundo
08/09/2022 14:00:00

Água contaminada pode ser fonte de infecção por bactéria que já matou seis pessoas na Argentina

Água contaminada pode ser fonte de infecção por bactéria que já matou seis pessoas na Argentina

Uma bactéria encontrada naturalmente em água doce está por trás do surto que já matou ao menos seis pessoas em uma clínica particular na província de Tucumán, na Argentina.

No último fim de semana, autoridades sanitárias disseram que os casos foram de infecção pela legionela, mas ainda trabalham para identificar a subtipificação, embora haja uma forte suspeita de se tratar da Legionella pneumophila.

De acordo com os CDC (Centros de Controle e Prevenção de Doenças) dos Estados Unidos, uma em cada dez pessoas que adoecem com a infecção causada pela legionela morre.

 A Legionella pneumophila é uma bactéria do tipo bacilo Gram-negativo, que, segundo o Manual MSD de Diagnóstico e Tratamento, “frequentemente causa pneumonia com aspectos extrapulmonares”.

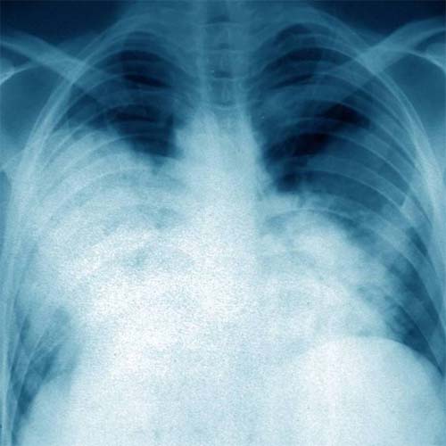
O guia médico descreve a infecção por legionela como uma síndrome semelhante à gripe, em que os pacientes apresentam febre, calafrios, mal-estar, dor no corpo e confusão.

Também podem surgir náuseas, diarreia e dor abdominal. Quando a doença evolui para a pneumonia, é comum haver falta de ar, dor no peito e hemoptise (expectoração de sangue).

 Idosos estão entre as vítimas do surto de legionela na Argentina. A taxa de letalidade nesse grupo pode chegar a 40%.

Também podem surgir náuseas, diarreia e dor abdominal. Quando a doença evolui para a pneumonia, é comum haver falta de ar, dor no peito e hemoptise (expectoração de sangue).

 Idosos estão entre as vítimas do surto de legionela na Argentina. A taxa de letalidade nesse grupo pode chegar a 40%.

A legionela não é uma bactéria que costuma ser transmitida entre pessoas, apesar de isso ser possível “em raras circunstâncias”, dizem os CDC.

O Manual MSD ressalta que quando surtos ocorrem em hospitais, como na Argentina, “geralmente envolvem uma fonte de água quente contaminada”

“Organismos legionela podem entrar no sistema hidráulico de um edifício por meio de fontes de água doce: o fornecimento de água de um edifício é muitas vezes a fonte de um surto de legionela. Microrganismos de legionela são incorporados em um biofilme que se forma no interior de caixas-d’água e outros recipientes. A infecção normalmente é adquirida pela inalação de aerossóis (ou menos frequentemente, aspiração) da água contaminada (p. ex., como a gerada por chuveiros, banheiras de hidromassagem ou torres de resfriamento de água para ar condicionado)”,  descreve a publicação.

O tratamento normalmente envolve a administração intravenosa de antibióticos, incluindo as fluoroquinolonas ou azitromicina e doxiciclina, a depender da avaliação médica.

 Sete bactérias e fungos que provocam doenças fatais

agoranoticiasbrasil.com.br