05/11/2025 11:38:47

24/03/2012 11:50:03

Dia Mundial da Tuberculose alerta sobre tratamento da doença

Dia Mundial da Tuberculose alerta sobre tratamento da doença
Ilustração

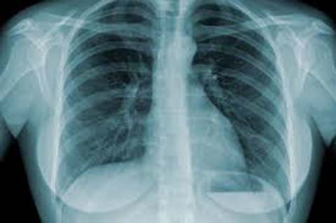
A tuberculose continua a ser a segunda principal causa de morte por doença infecciosa na América, depois de HIV e Aids. Apesar dos progressos significativos no seu controle o Ministério da Saúde (MS) informou que muitos pacientes ainda deixam o tratamento na metade.

 

O Dia Mundial da Tuberculose é comemorado neste sábado (24), especialistas da Organização Pan-Americana da Saúde (OPSA) declararam que a tuberculose poderia ser eliminada no Brasil se os estados continuarem e intensificarem os seus esforços, e se setores da sociedade se unir na luta contra esta doença.

 

O Brasil reduziu de 73.673 para 70.601 o número de casos novos de tuberculose entre 2008 e 2010 – o que representa 3 mil casos novos a menos no período. Com a redução, a taxa de incidência (número de pacientes por 100 mil habitantes) baixou de 38,82 para 37,99.

 

Entre os maiores desafios da doença estão a sua propagação que não responde aos medicamentos de primeira linha (2,9% do total de casos notificados) e da emergência de extensivamente a tuberculose resistente a medicamentos, que não responde a medicamentos de segunda linha em uso comum e um maior número de pacientes com tuberculose infectados com HIV / AIDS (cerca de 35.000 casos em 2010).

 

A tuberculose é uma das doenças que devem ter indicadores reduzidos pela metade até 2015 em relação aos registros de 1990, conforme previsto nos Objetivos de Desenvolvimento do Milênio (ODM). Há duas décadas, a incidência da doença era de 56 casos por 100 mil habitantes e a mortalidade, de 3,6 por 100 mil. Até 2015, os indicadores devem chegar a 28/100 mil e 1,8/100 mil, respectivamente.

Sobre a tuberculose


A tuberculose é causada pelo Mycobacterium tuberculosis, uma bactéria que afeta os pulmões com mais freqüência. Uma em cada três pessoas no mundo tem tuberculose latente, o que significa que eles estão infectados, mas não têm sintomas e doença ativa não pode transmiti-la.

A tuberculose é transmitida pelo ar quando as pessoas que têm a infecção tossem, espirraram ou cospem. Os sintomas da tuberculose pulmonar incluem a tosse de mais de duas a três semanas, perda de peso, febre, suores noturnos, perda de apetite e tosse com sangue. A doença é curável, mas pode ser fatal se não tratada. O tratamento geralmente dura seis meses.

 

Dia Mundial da Tuberculose, 24 de março

 

O Dia Mundial da Tuberculose comemora a data em que o Dr. Robert Koch anunciou que havia descoberto o bacilo que causa a tuberculose. Quando anunciou, em 1882, em Berlim, a tuberculose grassava na Europa e nas Américas, ao matar um em cada sete pessoas. Koch descoberta abriu caminho para diagnosticar e curar a doença.


primeiraedição //

marcos felipe sousa