16/10/2025 12:40:31

Saúde
24/10/2024 08:00:00

Novo estudo traça relação entre tamanho do cérebro, Parkinson e TDAH; entenda

Novo estudo traça relação entre tamanho do cérebro, Parkinson e TDAH; entenda

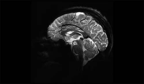
Em estudo publicado na revista científica Nature Geneticsum grupo internacional de pesquisadores identificou 254 variantes genéticas associadas a estruturas do cérebro que comandam áreas como o controle de memória, habilidades motoras e vícios.

“Sabe-se que muitas doenças cerebrais são parcialmente genéticas, mas, do ponto de vista científico, queremos encontrar as alterações específicas no código genético que as causam”, afirmou Paul Thompson, diretor associado do Instituto de Neuroimagem e Informática Mark e Mary Stevens da Universidade do Sul da Califórnia, que fez parte do estudo, em comunicado.

Para a pesquisa, foram reunidas amostras de DNA e exames cerebrais de ressonância magnética que mediram o volume nas principais regiões do sub-córtex de quase 75 mil participantes de ascendência europeia.

Os pesquisadores descobriram associações entre o volume do cérebro e um risco maior de doença de Parkinson e de transtorno de déficit de atenção com hiperatividade (TDAH). As variantes encontradas explicam até 10% das diferenças no volume cerebral dos participantes, segundo o estudo.

“Há fortes evidências de que o TDAH e o Parkinson têm uma base biológica, e essa pesquisa é uma etapa necessária para compreender e, eventualmente, tratar essas condições de forma mais eficaz”, disse Miguel Rentería, professor de neurogenômica computacional no Instituto de Pesquisa Médica de Queensland, na Austrália, que também participou do estudo.

Vale a menção de que o estudo é correlacional – ou seja, apenas aponta para uma correlação entre o tamanho cerebral e distúrbios ligados ao cérebro. Por isso, ainda são necessários mais estudos para estabelecer uma relação causal entre os genes e as doenças.

Revista Galileu