16/10/2025 06:31:01

Geral
13/10/2024 22:00:00

Mãe alerta como o vaping contribuiu para a morte do filho de 20 anos

Apesar da proibição brasileira de vaping desde 2009, o número de usuários cresceu rapidamente

Mãe alerta como o vaping contribuiu para a morte do filho de 20 anos

Lia Paiva, mãe de Diego Paiva dos Santos, de 20 anos, disse que embora o vaping não tenha sido a causa direta da morte do filho, o uso prolongado danificou gravemente seus pulmões, dificultando a recuperação quando bactérias se instalaram no ombro de Diego após uma luta de jiu-jitsu. 

Ele foi hospitalizado e intubado enquanto a infecção se espalhava e acabou morrendo em 7 de agosto de embolia pulmonar. Lia acredita que a vaporização enfraqueceu a capacidade dos pulmões de responder adequadamente à infecção.


Segundo o G1, Diego inicialmente sofria de dores no ombro, que pareciam ser apenas uma lesão, mas posteriormente foi diagnosticado com uma grave infecção bacteriana. A família suspeita que a bactéria tenha entrado por um furúnculo causado no tatame de jiu-jitsu. Ele foi hospitalizado com choque séptico e rapidamente transferido para a terapia intensiva. Embora tenha apresentado melhora em outros órgãos, como fígado


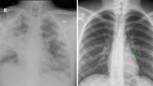
Lia comparou imagens dos pulmões do filho antes e depois da infecção, destacando a extensão da destruição causada pela bactéria. Segundo ela, “não foi o vapor que causou a morte do meu filho, mas seus pulmões foram danificados pelo uso do vapor”. A mãe também mencionou o hábito compulsivo de vaporização de Diego desde os 15 anos, apesar de seus esforços para impedi-lo. Diego também usou o dispositivo durante suas hospitalizações, apesar das advertências médicas de que poderia danificar seus pulmões.


A pneumologista Margareth Dalcolmo também explicou ao G1 que os cigarros eletrônicos, assim como o vaping, causam danos irreversíveis aos pulmões devido à grande quantidade de substâncias tóxicas presentes. Ela disse que a adição de nicotina a esses dispositivos é extremamente rápida e os danos pulmonares podem ser semelhantes ao enfisema pulmonar em pouco tempo de uso.


Apesar da proibição brasileira de vaping desde 2009, o número de usuários cresceu rapidamente, com dados mostrando que o número total de usuários quadruplicou em quatro anos, de 500 mil em 2018 para 2,2 milhões em 2022. Mesmo ccom a proibição, a evaporação ainda é fácil..