19/10/2025 12:06:20

Leitura de Domingo
09/06/2024 08:00:00

Exame simples pode detectar Alzheimer até 9 anos antes dos sintomas

Exame simples pode detectar Alzheimer até 9 anos antes dos sintomas

Correio Braziliense

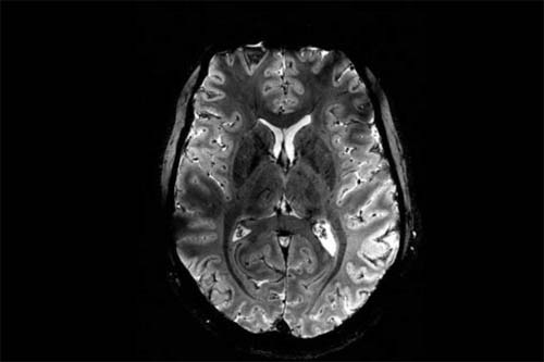
Silenciosa, a doença de Alzheimer se instala no cérebro muito tempo antes de os primeiros sinais de demência se manifestarem. Agora, pesquisadores da Universidade Queen Mary de Londres anunciaram um novo método para prever a neuropatologia com mais de 80% de precisão até nove anos antes do diagnóstico. O resultado sai em minutos, afirmam os cientistas, em um artigo publicado na revista Nature Mental Health. 

Hoje, os métodos mais comuns para diagnosticar a demência são testes de memória e exames que medem o encolhimento cerebral. O novo método, dizem os cientistas, é mais preciso, fornecendo uma janela de tempo para retardar a progressão da doença. Também há expectativa de que, nos próximos anos, sejam lançados medicamentos mais eficazes do que as poucas opções disponíveis atualmente. 

Liderados por Charles Marshall, os pesquisadores desenvolveram o teste ao analisar exames de ressonância magnética funcional (fMRI) para detectar mudanças na chamada rede de modo padrão do cérebro (DMN). A DMN conecta diversas regiões do cérebro para o desempenho de funções cognitivas e é a primeira a ser afetada pelo Alzheimer. 

Banco de dados 

Foram usados exames de fMRI de mais de 1,1 mil voluntários, cujos registros médicos estão no UK Biobank, o maior banco de dados biomédicos do mundo, com informações de genética e saúde de 500 mil pessoas do Reino Unido. O objetivo era estimar a conectividade efetiva entre 10 regiões do cérebro implicadas no modo padrão. 

Os pesquisadores atribuíram a cada paciente um valor de probabilidade de demência com base no padrão de conectividade que indica o Alzheimer ou a normalidade. Então, compararam as previsões com os registros médicos dos voluntários. As análises mostraram que o modelo previu o início da neurodegeneração até nove anos antes de um diagnóstico oficial ser feito, e com precisão superior a 80%. 

Nos casos em que os voluntários desenvolveram demência, descobriu-se também que o modelo poderia prever, com uma margem de erro de dois anos, exatamente quanto tempo levaria para que o diagnóstico fosse feito.

Os pesquisadores também examinaram se as alterações na rede de modo padrão do cérebro poderiam ser causadas por fatores desencadeadores conhecidos para demência. A análise mostrou que o risco genético para a doença de Alzheimer estava fortemente associado a alterações de conectividade no DMN, apoiando a ideia de que são específicas dessa patologia. Os dados também sugerem que o isolamento social é outro ponto que afeta a comunicação dos neurônios da cognição. 

"Prever quem terá demência no futuro será vital para o desenvolvimento de tratamentos que possam prevenir a perda irreversível de células cerebrais que causa os sintomas da condição", disse, em nota, Charles Marshall, neurologista que liderou a equipe de pesquisa. "Embora estejamos melhorando na detecção de proteínas no cérebro que podem causar a doença de Alzheimer, muitas pessoas vivem durante décadas com essas proteínas sem desenvolver sintomas."

Precisão 

Segundo Marshall, a expectativa é que a medida da função cerebral permita maior precisão sobre o risco de desenvolvimento de demência. Assim, o paciente poderá ser beneficiado por tratamentos futuros. Para Samuel Ereira, autor principal do artigo, o método também vai aprofundar o conhecimento dos mais diversos fatores associados à neurodegeneração. "Com a análise de um grande volume de dados, podemos também aprender quais fatores de risco ambientais impulsionaram essas pessoas para uma zona de alto risco."

Os pesquisadores acreditam que há potencial para aplicar esses métodos a diferentes redes e células do cérebro. "Isso nos ajudará a compreender melhor as interações entre o ambiente, a neurobiologia e a doença, tanto na demência como possivelmente noutras enfermidades neurodegenerativas", diz Ereira. A ressonância é uma ferramenta de imagem não invasiva e que leva cerca de seis minutos para coletar os dados, dispensando o desenvolvimento de novos equipamentos, alega. 

Para Hojjat Azadbakht, cientista da Ainostics, uma companhia de inteligência artificial que colabora com cientistas de todo o mundo na pesquisa de padrões detectáveis em neuroimagem para diagnóstico de demência, a abordagem dos colegas "tem o potencial de preencher uma enorme lacuna clínica, fornecendo uma solução não biomarcador invasivo para demência". "Com futuros tratamentos, a tecnologia oferecerá um grande benefício aos pacientes", opina.

Tratamentos no Horizonte 

"Uma em cada três pessoas com demência nunca recebe um diagnóstico formal, por isso há uma necessidade urgente de melhorar a forma como os pacientes são identificados. Isso será ainda mais importante à medida que a demência se tornar uma condição tratável. O estudo fornece insights intrigantes sobre os primeiros sinais de que alguém pode estar em maior risco de desenvolver demência. Embora a técnica precise de ser validada em estudos adicionais, se o for, poderá ser uma adição promissora ao conjunto de ferramentas para detectar as doenças que causam demência o mais cedo possível. Um diagnóstico precoce e preciso é fundamental para permitir o acesso a cuidados e apoio personalizados e, em breve, para ter acesso a tratamentos pioneiros que estão no horizonte."

Julia Dudley, pesquisadora da Alzheimer's Research, no Reino Unido

Comprometimento cognitivo

Pessoas com pressão arterial elevada têm um risco maior de comprometimento cognitivo, incluindo demência. Um novo estudo realizado por pesquisadores da Escola de Medicina da Universidade Wake Forest, nos Estados Unidos, sugere que praticar atividade física vigorosa mais de uma vez por semana pode diminuir essa probabilidade. Um artigo sobre a descoberta foi publicado online ontem na revista Alzheimer & Dementia. 

“Sabemos que o exercício físico oferece muitos benefícios, incluindo a redução da pressão arterial, a melhoria da saúde cardíaca e o potencial atraso do declínio cognitivo”, disse, em nota, Richard Kazibwe, autor principal do estudo. “No entanto, a quantidade e a intensidade do exercício necessário para preservar a cognição são desconhecidas”.

Os pesquisadores fizeram uma análise do Sprint, um estudo de grande porte sobre pressão arterial iniciado em 2009 com 9,3 mil pacientes. Kazibwe e a equipe estudaram o efeito de sessões autorrelatadas de atividade física vigorosa (pelo menos uma vez por semana) sobre o risco de comprometimento cognitivo leve e demência. Aquelas que se exercitavam dessa forma uma ou mais vezes por semana apresentavam taxas mais baixas de comprometimento cognitivo leve e demência.

Kazibwe alerta que antes de fazer recomendações, é preciso testar os resultados em outras pesquisas. “Embora o estudo forneça evidências de que o exercício vigoroso pode preservar a função cognitiva em pacientes de alto risco com hipertensão, são necessárias mais pesquisas para incluir medições por dispositivos e populações de participantes mais diversas”, disse.